Emory Healthcare Researcher Wins Two Awards Using Konica Minolta’s AI Analysis Tool With Dynamic Digital Radiography in Shoulder Pathology

Konica Minolta Healthcare Americas, Inc., congratulates the Emory Healthcare researchers that won two awards at the 2022 Orthopedic Research and Education Foundation (OREF) Eastern Region Resident Research Symposium.

Wayne, NJ, October 14, 2022 – Konica Minolta Healthcare Americas, Inc., congratulates the Emory Healthcare researchers that won two awards at the 2022 Orthopedic Research and Education Foundation (OREF) Eastern Region Resident Research Symposium for the presentation, “Artificial Intelligence Automated Analysis of Scapula Dynamics using Dynamic Digital Radiography: An Initial Reliability Study.” Zaamin B. Hussain, MD, an orthopedic surgery resident working with Eric Wagner, MD, MSc, Director of Upper Extremity Research and Assistant Professor at Emory Healthcare, received a Second Place Award and the Presenter’s Choice Award. Next, he will present his research at the National OREF Symposium later this year.
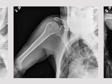
Dr. Hussain’s research evaluated a prototype artificial intelligence (AI) tool developed by Konica Minolta Healthcare for characterizing shoulder dynamics. Seventy-three shoulders (23 normal controls, 41 rotator cuff tears and nine adhesive capsulitis) were imaged using Dynamic Digital Radiography (DDR) and reviewed by two trained readers.
With the DDR image data, Dr. Hussain was able to visualize changes in shoulder pathology and, using the proof-of- concept AI tool, acquire measurements to calculate the scapulohumeral rhythm (SHR). SHR measurement is a time- consuming manual process for calculating the scapulohumeral ratio and evaluating function of the shoulder joint. The new AI tool employs a machine learning algorithm utilizing a convolutional neural network architecture to automate this analysis. Dr. Hussain's research demonstrated that the AI tool has good reliability (ICC 0.58 (95% confidence interval 0.4- 0.71)) between manual and AI measurements of SHR.
DDR provides the best of two worlds...
Zaamin B. Hussain, MD
“We demonstrated the early promise of this AI tool, which may allow for a more rapid measurement of the SHR and enable automated image analysis and diagnostics in shoulder pathology,” says Dr. Hussain. “DDR provides the best of two worlds – it allows us to dynamically visualize the shoulder while it is in motion and enable quantitative measurement of shoulder anatomy in motion, the gold standard for discerning changes in joint anatomy. Further enhancing the prototype AI tool could lead to a more efficient integrations of SHR measurements in clinical workflow and increase the clinical utility of DDR in a clinical setting.”
Konica Minolta has partnered with Emory Healthcare, one of the nation’s most comprehensive academic healthcare systems, and its physicians in the Orthopaedics & Spine Hospital, including Drs. Wagner and Hussain, to evaluate the clinical value of DDR in an orthopedic setting. The prototype AI tool for SHR measurements is the realization of research and development at Konica Minolta in AI-assisted image analysis and diagnosis with DDR. This represents a novel imaging application to assess both of the critical shoulder joints allowing physicians to better understand the patient’s injury. As institutions adopt DDR in clinical practice, Konica Minolta continues to collaborate with these centers to provide the engineering and technology support required to evaluate new and existing uses of this novel technology.
One of the really exciting things about DDR is the ability to see what is happening with a patient’s joints from a way that we’ve never been able to see before.
Eric Wagner, MD
“One of the really exciting things about DDR is the ability to see what is happening with a patient’s joints from a way that we’ve never been able to see before,” says Dr. Wagner. “In patients with limited range of motion, I can identify the point at which the patient is having difficulty and see the source of the limitations. These insights are especially useful in treatment decisions and pre-surgical planning. For example, in the shoulder, using DDR we can differentiate the limitations in the shoulder vs shoulder blade motion, potentially improving our diagnostic and therapeutic algorithms. New tools that help quantify how structures move in relation to one another only adds to our knowledge of the individual patient so we can deliver the best possible outcome. Although this work and collaboration has already resulted in national and international presentations, publications, and research awards, we are only seeing the top of the iceberg with this technology.”
“Konica Minolta is dedicated to listening to our customers’ needs and providing solutions that help them answer a clinical question so they can continue to make a difference in patient care,” says John Sabol, PhD, Clinical Research Manager at Konica Minolta Healthcare. “Together with our academic and clinical users, we can advance the science behind DDR, whether it involves thoracic, orthopedic or other anatomical imaging, enabling them to improve radiography with the goals of lower costs and better decisions, sooner.”
About Konica Minolta Healthcare Americas, Inc.
Konica Minolta Healthcare is a world-class provider and market leader in medical diagnostic imaging and healthcare information technology. The company’s focus is to contribute to life changing advances through the transformation of primary imaging, allowing the invisible to be seen. Primary imaging, the most commonly used medical imaging technologies, include X-ray, ultrasound and imaging management systems. By advancing these readily available technologies, we can bring greater diagnostic capabilities to the greatest number of people.
With nearly 150 years of endless innovation, imaging is in Konica Minolta’s DNA. From roots as a camera and film manufacturer, the company has cultivated its own technologies and continues to evolve techniques for visualizing what is not visible. Innovation allows the company to be a strong strategic partner, understanding what value means to customers and how Konica Minolta’s innovations can address specific needs and lead to better decisions, sooner.
Konica Minolta Healthcare Americas, Inc., headquartered in Wayne, NJ, is a division of Konica Minolta, Inc. For more information on Konica Minolta Healthcare Americas, Inc., follow us on LinkedIn, Twitter and Facebook, or visit https://healthcare.konicaminolta.us.
Media Contact:
Mary Beth Massat
Massat Media
224.578.2388
https://healthcare.konicaminolta.us